相册共1张
点击图片可以查看相册
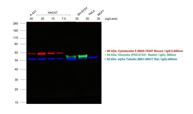
Donkey anti-Mouse IgG (H+L) Highly Cross-Adsorbed Secondary Antibody, Alexa Fluor™ Plus 680 1mg
- 类型:荧光二抗
- 品牌:Thermo Fisher
- 种属:Mouse应用:WB,ICC/IF抗体亚型:IgG偶联物:Alexa Fluor Plus 680/AFP680宿主:Donkey浓度:2 mg/mL
规格: 1mg
货号: A32788
价格: ¥4126.00
优惠: ¥2888.00
应用 |
建议稀释比 |
|
免疫细胞化学 (ICC/IF) |
1-10 µg/mL |
|
免疫印迹 (WB) |
0.1-0.4 µg/mL |
|
![]() |
|
|
产品详细信息
To minimize cross-reactivity, the donkey anti-mouse IgG whole antibodies have been cross-adsorbed against IgG from bovine, goat, chicken, guinea pig, hamster, horse, sheep, rabbit, rat, and human. Cross-adsorption or pre-adsorption is a purification step to increase specificity of the antibody resulting in less background staining and cross-reactivity. The secondary antibody solution is passed through a column matrix containing immobilized serum proteins from potentially cross-reactive species. Only the nonspecific-binding secondary antibodies are captured in the column, and the highly specific secondaries flow through. Further passages through additional columns result in highly cross-adsorbed preparations of secondary antibody. The benefits of these extra steps are apparent in multiplexing/multicolor-staining experiments where there is potential cross-reactivity with other primary antibodies or in tissue/cell fluorescent staining experiments where there may be the presence of endogenous immunoglobulins.
Using conjugate solutions: Centrifuge the protein conjugate solution briefly in a microcentrifuge before use; add only the supernatant to the experiment. This step will help eliminate any protein aggregates that may have formed during storage, thereby reducing nonspecific background staining. Because staining protocols vary with application, the appropriate dilution of antibody should be determined empirically.
Specificity: This antibody binds to heavy chains on mouse IgG and light chains on all mouse immunoglobulins. This antibody does not bind non-immunoglobulin mouse serum proteins or IgG from bovine, chicken, goat, guinea pig, hamster, horse, human, rabbit, rat or sheep.
靶标信息
Anti-Mouse secondary antibodies are affinity-purified antibodies with well-characterized specificity for mouse immunoglobulins and are useful in the detection, sorting or purification of its specified target. Secondary antibodies offer increased versatility enabling users to use many detection systems (e.g. HRP, AP, fluorescence). They can also provide greater sensitivity through signal amplification as multiple secondary antibodies can bind to a single primary antibody. Most commonly, secondary antibodies are generated by immunizing the host animal with a pooled population of immunoglobulins from the target species and can be further purified and modified (i.e. immunoaffinity chromatography, antibody fragmentation, label conjugation, etc.) to generate highly specific reagents.


